Datasheet is currently unavailable. Try again or CONTACT US
Guinea Pig Spinal Cord
15 References
GP-T065
1 Each
Tissue
IHC, Biochemical Assay, Functional Assay, Other
Guinea Pig
Shipping info:
Find your nearest distributor for timely delivery and local support.
Product Details
Guinea Pig Spinal Cord - GP-T065
Guinea Pig
Application Details
Biochemical Assay, Functional Assay, IHC, Other
- View References
Formulation
Non-sterile
Shipping & Handling
Dry Ice
Store tissue at -20° C or colder prior to use.
No expiration date is given for this product if properly stored.
Constantinescu CS et al. (2005). Astrocytes as antigen‐presenting cells: expression of IL‐12/IL‐23. J Neurochem.
Applications
Ab Purification
Mannie MD et al. (2004). MHC class II biosynthesis by activated rat CD4+ T cells: development of repression in vitro and modulation by APC-derived signals. Cell Immunol.
Applications
Ab Purification
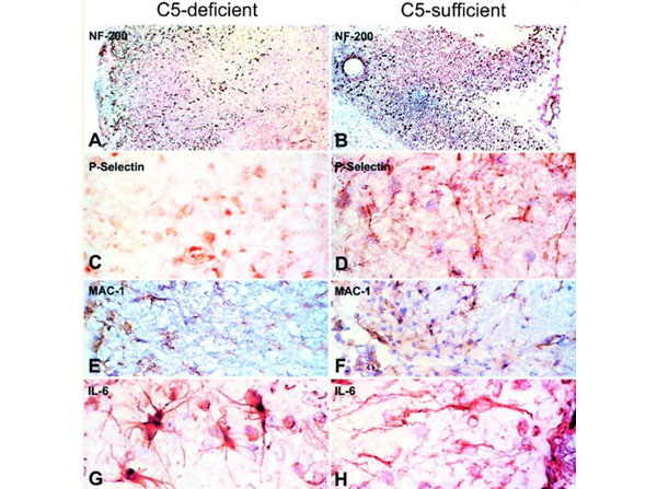
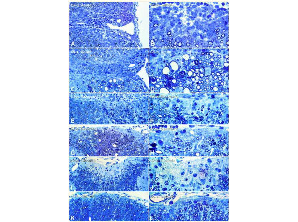
Weerth S et al. (2003). Complement C5 in experimental autoimmune encephalomyelitis (EAE) facilitates remyelination and prevents gliosis. Am J Pathol.
Applications
Undefined
Patel DM et al. (2001). Intercellular exchange of class II MHC complexes: ultrastructural localization and functional presentation of adsorbed IA/peptide complexes. Cell Immunol.
Applications
Ab Purification
Jewell SD et al. (1998). Oral tolerance as therapy for experimental autoimmune encephalomyelitis and multiple sclerosis: demonstration of T cell anergy. Immunol Cell Biol.
Applications
Undefined
Nagasato, K. et al. (1997). Exon 2 containing myelin basic protein (MBP) transcripts are expressed in lesions of experimental allergic encephalomyelitis (EAE). Journal of Neuroimmunology
Applications
IHC, ICC, Histology
Voskuhl RR et al. (1996). Gender differences in autoimmune demyelination in the mouse: implications for multiple sclerosis. Ann Neurol.
Applications
Undefined
Cross AH et al. (1995). Long-term inhibition of murine experimental autoimmune encephalomyelitis using CTLA-4-Fc supports a key role for CD28 costimulation. J Clin Invest.
Applications
Other
Kim C et al. (1993). Adoptive transfer of murine experimental autoimmune encephalomyelitis in SJL. Thy-1 congenic mouse strains. J Neuroimmunol.
Applications
Cell Culture; Immunization
Cross AH et al. (1991). Adoptive transfer of experimental allergic encephalomyelitis and localization of the encephalitogenic epitope in the SWR mouse. J Neuroimmunol.
Applications
Undefined
Ann Neurol. (1991). Anti-tumor necrosis factor therapy abrogates autoimmune demyelination. Selmaj K et al.
Applications
Undefined
Fuller KA et al. (1990). Oral tolerance in experimental autoimmune encephalomyelitis: serum and salivary antibody responses. J Neuroimmunol.
Applications
Undefined
Bitar DM et al. (1988). Suppression of experimental autoimmune encephalomyelitis by the oral administration of myelin basic protein.--- Cell Immunol.
Applications
Undefined
Badger AM et al. (1988). Immunomodulatory activity and non-specific suppressor cell generation by spirogermanium in murine and rat models of cell-mediated immunity. Immunopharmacology.
Applications
Undefined
Stohl W et al. (1980). Detection of the precursor and effector cells of experimental allergic encephalomyelitis in the thoracic duct of the rat. Cell Immunol.
Applications
Undefined
This product is for research use only and is not intended for therapeutic or diagnostic applications. Please contact a technical service representative for more information. All products of animal origin manufactured by Rockland Immunochemicals are derived from starting materials of North American origin. Collection was performed in United States Department of Agriculture (USDA) inspected facilities and all materials have been inspected and certified to be free of disease and suitable for exportation. All properties listed are typical characteristics and are not specifications. All suggestions and data are offered in good faith but without guarantee as conditions and methods of use of our products are beyond our control. All claims must be made within 30 days following the date of delivery. The prospective user must determine the suitability of our materials before adopting them on a commercial scale. Suggested uses of our products are not recommendations to use our products in violation of any patent or as a license under any patent of Rockland Immunochemicals, Inc. If you require a commercial license to use this material and do not have one, then return this material, unopened to: Rockland Inc., P.O. BOX 5199, Limerick, Pennsylvania, USA.