Datasheet is currently unavailable. Try again or CONTACT US
Datasheet

NFkB P52 Antibody

Rabbit Polyclonal

4 References
100-4185
100 µL
Liquid (sterile filtered)
EMSA
Human
Rabbit
$499.00 /Per Item
Shipping info:

Find your nearest distributor for timely delivery and local support.

Product Details

Anti-NFKB p52 (RABBIT) Antibody - 100-4185
rabbit Anti-NFKB p52 antibody, Nuclear factor NF-kappa-B p100 subunit, DNA-binding factor KBF2, H2TF1, Lymphocyte translocation chromosome 10 protein, Nuclear factor of kappa light polypeptide gene enhancer in B-cells 2, Oncogene Lyt-10, Lyt10, Nuclear factor NF-kappa-B p52 subunit, NFKB2
Rabbit
Polyclonal
Antiserum

Target Details

NFKB2  - View All NFKB2 Products
Human
Conjugated Peptide
Human NFKB2 p52/p100 peptide corresponding to aa residue 1-19 the human protein conjugated to Keyhole Limpet Hemocyanin (KLH).
This product was prepared from monospecific antiserum by delipidation and defibrination.  Anti-Human NFKB2 p52 may react non-specifically with other proteins.   Control peptide (code #100-4185p) will compete only with the specific reaction of antiserum with Human NFKB2 p52.
Q00653 - UniProtKB
NP_001070962.1 - NCBI Protein
4791 - Gene ID

Application Details

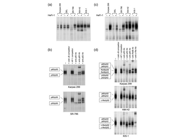
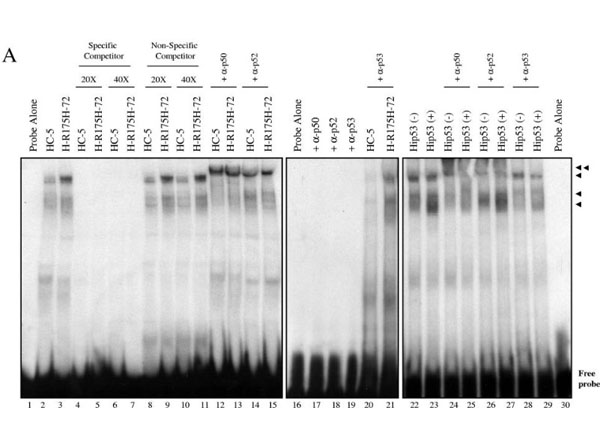
EMSA  - View References
This product was assayed by immunoblot and found to be reactive against Human NFKB2 p52 at a dilution of 1:1000 followed by reaction with Peroxidase conjugated Affinity Purified anti-Rabbit IgG [H&L] (Goat) code #611-1302.  Anti- Human NFKB2 p52 is suitable for the detection by immunoblot of Human NFKB2 p52 and its precursor protein p100.  Cross reactivity with p52 from other species may occur but has not been specifically determined.  Reactivity in supershift assays has not been determined. 

Formulation

90 mg/mL by Refractometry
0.02 M Potassium Phosphate, 0.15 M Sodium Chloride, pH 7.2
0.01% (w/v) Sodium Azide
None

Shipping & Handling

Dry Ice
Store vial at -20° C prior to opening. Aliquot contents and freeze at -20° C or below for extended storage. Avoid cycles of freezing and thawing. Centrifuge product if not completely clear after standing at room temperature. This product is stable for several weeks at 4° C as an undiluted liquid. Dilute only prior to immediate use.
Expiration date is one (1) year from date of receipt.
NFkB was originally identified as a factor that binds to the immunoglobulin kappa light chain enhancer in B cells.  It was subsequently found in non-B cells in an inactive cytoplasmic form consisting of NFkB bound to IkB. NFkB was originally identified as a heterodimeric DNA binding protein complex consisting of p65 (RelA) and p50 (NFKB1) subunits. Other identified subunits include p52 (NFKB2), c-Rel, and RelB. The p65, cRel, and RelB subunits are responsible for transactivation. The p50 and p52 subunits possess DNA binding activity but limited ability to transactivate. p52 has been reported to form transcriptionally active heterodimers with the NFkB subunit p65, similar to p50/p65 heterodimers. The heterodimers of p52/p65 and p50/p65 are regulated by physical inactivation in the cytoplasm by an inhibitor called IkB-a. IkB-a binds to the p65 subunit, preventing nuclear localization and DNA binding. Low levels of p52 and p50 homodimers can also exist in cells.
(). Tumor-derived p53 mutants induce NF-kappaB2 gene expression. Mol Cell Biol.
Applications
Supershift, Gel Shift, EMSA
(). Stimulation of CD30 in anaplastic large cell lymphoma leads to production of nuclear factor‐κB p52, which is associated with hyperphosphorylated Bcl‐3. Cancer Sci.
Applications
Supershift, Gel Shift, EMSA
(). The NPC derived C15 LMP1 protein confers enhanced activation of NF-κB and induction of the EGFR in epithelial cells. Oncogene
Applications
Supershift, Gel Shift, EMSA
(). Interaction of tumor necrosis factor receptor-associated factor signaling proteins with the latent membrane protein 1 PXQXT motif is essential for induction of epidermal growth factor receptor expression Mol Cell Biol
Applications
Supershift, Gel Shift, EMSA

Invalid lot number

If you need help finding your CoA, contact us

This product is for research use only and is not intended for therapeutic or diagnostic applications. Please contact a technical service representative for more information. All products of animal origin manufactured by Rockland Immunochemicals are derived from starting materials of North American origin. Collection was performed in United States Department of Agriculture (USDA) inspected facilities and all materials have been inspected and certified to be free of disease and suitable for exportation. All properties listed are typical characteristics and are not specifications. All suggestions and data are offered in good faith but without guarantee as conditions and methods of use of our products are beyond our control. All claims must be made within 30 days following the date of delivery. The prospective user must determine the suitability of our materials before adopting them on a commercial scale. Suggested uses of our products are not recommendations to use our products in violation of any patent or as a license under any patent of Rockland Immunochemicals, Inc. If you require a commercial license to use this material and do not have one, then return this material, unopened to: Rockland Inc., P.O. BOX 5199, Limerick, Pennsylvania, USA.

Related products to: NFkB P52 Antibody